MENU
Irodoriの技術
IOSについて
会社概要
採用情報
お問い合わせ
Technical Information
Irodoriの技術
HOME
/ Irodoriの技術
技術紹介
ジルコニアセラミック
フルジルコニア
インプラント補綴
PFM
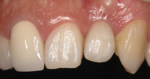
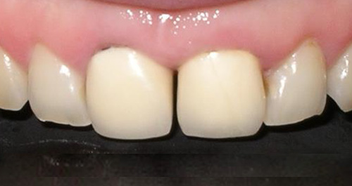
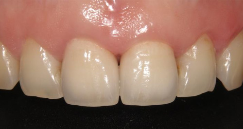
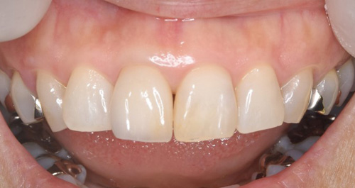
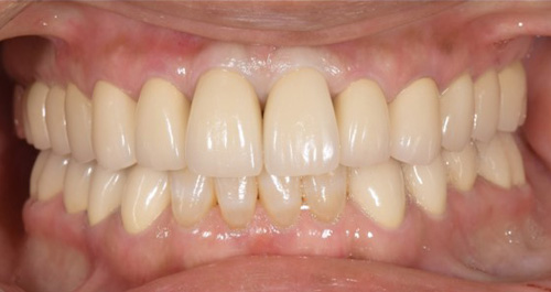
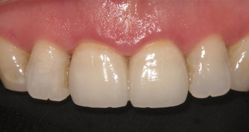
ジルコニアセラミック
症例1
Before
After
症例2
Before
After
フルジルコニア
症例1
症例2
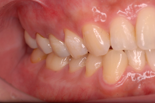
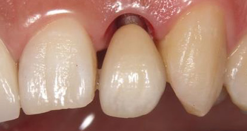
インプラント補綴
症例
Before
After
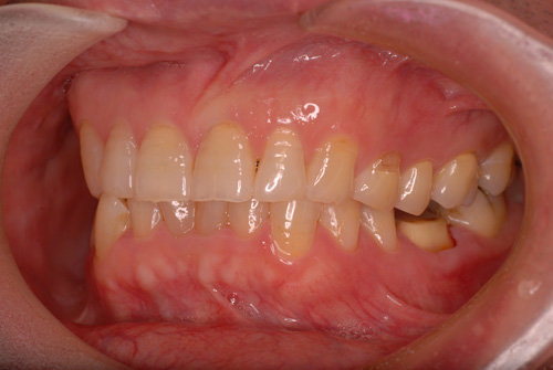
PFM
症例1
Before
After
症例2
Before
After
TOP
お問い合わせ各種
お問い合わせはこちらから